Causes of Knee Pain

Written By: Chloe Wilson, BSc(Hons) Physiotherapy
Reviewed by: KPE Medical Review Board

Find out all about the most common causes of knee pain

There are a huge number of possible causes of knee pain.

It may be that you can pinpoint a specific time when you injured the knee, or it may well be that your symptoms have come on gradually over time with no obvious cause.

Knee pain is a common problem. Symptoms often fluctuate and it can be hard to work out what is wrong. There are so many possible options out there from ligament tears to bursitis, cartilage damage to gout.

Here we are going to focus on common knee conditions - those cases of knee pain where symptoms have come on gradually over time e.g. arthritis, bursitis and tendonitis.

If however your pain started more suddenly due to an injury e.g. from twisting or landing awkwardly, check out the knee injuries guide e.g. ligament sprains, cartilage tears and fractures. If you prefer to think about about where your pain is, visit the knee pain diagnosis section.

Common Causes Of Knee Pain

The most common causes of knee pain from underlying knee conditions are:

1. Runners Knee

Runners Knee is one of the most common causes of knee pain around the front of the knee due to a problem with how the kneecap moves.

Don’t be fooled by the name - it is just as likely to affect those with sedentary lifestyles as it is active people.

  • Causes: Runners knee usually develops due to a combination of muscle weakness, tightness, flat feet and hip angle

  • Symptoms: The most common symptoms are kneecap pain, knee swelling and pain on stairs, especially on the way down. Runners Knee usually settles within a few months

  • Treatment: One of the most effective treatments for Runners Knee is exercises to strengthen and stretch the knee muscles. Other things that can help include ice, knee braces and orthotics. Occasionally surgery is required

Find out more about the causes, symptoms, diagnosis, prevention & treatment options: Runners Knee

2. Iliotibial Band Syndrome aka ITBS

Iliotibial band syndrome is the most common of the causes of knee pain on the outer side of the joint and is often seen in runners. The iliotibial band runs down the outer side of the thigh attaching at the knee.

Iliotibial band syndrome typically causes pain on the outer side of the knee
  • Causes: Ilitibial band syndrome usually develops due to excessive friction on the IT band, caused by things such as muscle imbalance, excessive running, or running on a slope and incorrect training methods resulting in inflammation

  • Symptoms: ITBS typically results in pain on the outer side of the knee that gets worse with activities such as running and going down steps. There may be a funny snapping sensation as you bend your knee and some swelling

  • Treatment: Rest from aggravating activities is important with ITBS and should be combined with tailored strengthening and stretching exercises. Wearing a knee strap can make a big difference along with orthotics, injections and in some cases knee surgery

Find out more about the causes, symptoms, diagnosis, prevention & treatment options: Iliotibial Band Syndrome

3. Chondromalacia Patella

Chondromalacia Patella is one of the most common causes of knee problems in sporty adolescents and young adults, especially females.

  • Causes: Chondromalacia patella is caused by damage to the cartilage that lines the back of the kneecap usually due to a combination of muscle imbalance, altered biomechanics and overuse

  • Symptoms: It results in pain at the front of the knee, especially when going down stairs, or after sitting for long periods, and can cause the knee to make funny noises when it moves.

  • Treatment: Exercises, knee straps, medication, shoe insoles and activity modification are the usual treatment options for chondromalacia 

Find out more about the causes, symptoms, diagnosis, prevention & treatment options: Chondromalacia Patella

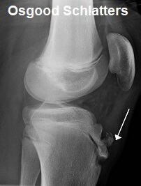
4. Osgood Schlatters Disease

Osgood Schlatter Disease is one of the most common causes of knee pain in teenagers, especially males.

Osgood schlatters Disease is on of the most common causes of knee pain in teenager
  • Causes: Osgood Schlatters usually develops after a growth spurt due to the bones growing faster than the muscles, causing friction. This can lead to a bony lump forming just below the patella

  • Symptoms: There is usually pain below the kneecap, worse with activity, better with rest.  Tenderness and swelling over the shin bone are common

  • Treatment: A combination of PRICE, exercises, knee straps and knee pads usually work well

  • Recovery: This is one of the longer lasting causes of knee pain and it can take anywhere from a few weeks to 2 years to settle

Find out more about the causes, symptoms, diagnosis, prevention & treatment options: Osgood-Schlatters-Disease

5. Knee Arthritis

Knee Arthritis is the most common of the causes of knee pain in people over the age of 50.

  • Causes: Knee Arthritis is caused by wear and tear to the cartilage that lines the joint, leading to bone on bone contact. It is more common in women and in those who have previously injured their knee or had knee surgery

  • Symptoms: Arthritis in the knee can cause pain, swelling, weakness, limited movement and difficulty with everyday activities such as walking and going up and down stairs. Symptoms of knee arthritis tend to get progressively worse over time 

  • Treatment: Knee Arthritis treatment varies according to the severity of the disease. Common treatments for arthritis include exercises, knee braces, natural remedies, acupuncture, dietary changes, medication and in severe cases surgery

Find out more about the causes, symptoms, diagnosis, prevention & treatment options: Arthritis

6. Bursitis of the Knee

Knee bursitis is caused by inflammation of a bursa - small fluid-filled sacs that lie between bones and muscles/tendons to prevent irritation. There are approximately 15 bursae around the knee e.g. suprapatellar bursa and infrapatellar bursa. Knee bursitis typically causes pockets of swelling in and around the knee.

Inflammation of one of the knee bursa can cause pain
  • Causes: Excessive friction from activities such as jumping, running or muscle tightness can lead to swelling of one or more bursa which leads to pain

  • Symptoms: The location of the pain will depend on which bursa is affected. The symptoms tend to be general pain and swelling around the knee

  • Treatment: Rest from aggravating activities is vital when bursitis causes knee pain.  A combination of strengthening and stretching exercises usually helps

Find out more about the causes, symptoms, diagnosis, prevention & treatment options: Knee Bursitis

7. Bakers Cyst

A Bakers Cyst, aka Popliteal Bursitis, is one of the most common causes of knee pain at the back of the knee and is due to inflammation of the popliteal bursa which sits behind the knee joint.

  • Causes: It is usually caused by fluid associated with arthritis or a cartilage tear leaking into the bursa and causing it to swell, but it can occur after any damage to the knee

  • Symptoms: The symptoms of a Bakers Cyst knee tend to be pain and swelling behind the knee, like a soft orange which can limit knee movement

  • Treatment: Treatment options include ice, medication and injections to reduce pain and swelling, and exercises.  In severe cases, surgery may be necessary to drain or remove the knee bursa

Find out more about the causes, symptoms, diagnosis, prevention & treatment options:Bakers Cyst

8. Housemaids Knee

Again, don’t be fooled by the name. Nowadays, Housemaids Knee, aka Prepatellar Bursitis, usually affects tradesmen such as roofers and carpet layers who spend long periods kneeling who suffer from this common cause of front knee pain and swelling.

  • Causes: Excessive kneeling, or less commonly, a knock to the front of the knee causes swelling in the prepatellar bursa

  • Symptoms: The most common symptoms of housemaids knee are pain at the front of the knee, swelling (again like a soft orange) and difficulty walking, bending the knee and kneeling

  • Treatment: As with other bursitis causes of knee pain a combination of rest, ice, medication, injections and exercises tends to be most effective

Find out more about the causes, symptoms, diagnosis, prevention & treatment options: Housemaids Knee

9. Pes Anserine Bursitis

Pes Anserine Bursitis is one of the causes of knee pain on the inner side of the knee slightly below the joint, caused by inflammation of the pes anserinus bursa.

Pes Anserine is one of the less common causes of knee pain.  It causes pain on the inner side of the knee, below the joint
  • Causes: Repetitive friction from activities such as swimming and running irritates the pes anserine knee bursa. People with other medical conditions such as arthritis and type 2 diabetes, along with obese middle-aged women are the most likely to be affected

  • Symptoms: Pain in the inner side of the knee 2-3 inches below the joint in the most defining symptom of pes anserine bursitis. Sleep is often disturbed and there may be weakness and stiffness in the knee

  • Treatment: As with most causes of knee pain, exercises are one of the most important treatment options here. They should be used carefully to allow rest from any aggravating activities. Medication and steroid injections can also help

Find out more about the causes, symptoms, diagnosis, prevention & treatment options: Pes Anserine Bursitis

10. Gout Knee

Gout Knee is a type of arthritis and is one if the causes of knee pain that can affect other areas as well such as the hands and feet.  High levels of urate crystals form in the joint causing intense knee pain and inflammation.

  • Causes: Common causes of gout include diet, obesity, genetics, medical conditions such as diabetes and knee injuries

  • Symptoms: Gout sufferers typically present with a hot, swollen, red knee which usually develop at night and can be extremely painful

  • Treatment: Medication is one of the best treatments for inflammatory causes of knee pain and gout is no exception.  Rest and ice can also help

Find out more about the causes, symptoms, diagnosis, prevention & treatment options: Gout Knee

11. Jumpers Knee

Jumpers Knee, aka Patellar Tendonitis, is one of the common causes of knee pain affecting sports players caused by damage to the tendon just below the kneecap.

Patellar Tendonitis is one of the common causes of knee pain below the kneecap
  • Causes: Repetitive jumping and/or kicking can lead to Jumpers Knee as these activities place lots of strain on the patellar tendon and can lead to small tears in the tendon. This weakens the tendon and makes it prone to further damage

  • Symptoms: The most common symptoms of patellar tendonitis include pain just below the kneecap, especially after prolonged periods of rest and/or activity as well as knee stiffness first thing in the morning

  • Treatment: Rest from any activities that are causes of knee pain here, exercises and in some cases surgery.  Many people find wearing a knee strap really helps as it takes the tension off the patella tendon

Find out more about the causes, symptoms, diagnosis, prevention & treatment options: Patellar Tendonitis

12. Quadriceps Tendonitis

Quadriceps Tendonitis is a common cause of activity-related pain at the front of the knee.

  • Causes: Sports involving lots of jumping, sprinting or quick turns, over-training and muscle imbalance place excess force through the tendon above the kneecap, resulting in small tears

  • Symptoms: Pain just above the kneecap that gets worse with activity, knee swelling and stiffness and kneecap tenderness

  • Treatment: Rest from aggravating activities, knee strap, strengthening & stretching exercises, ice, friction massage, injections and knee surgery

Find out more about the causes, symptoms, diagnosis, prevention & treatment options: Quadriceps Tendonitis

13. Hamstring Tendonitis

A common cause of knee pain in the back of the leg is hamstring tendonitis.

  • Causes: Repetitive activities such as jumping, kicking, running and quick pivoting movements leads to inflammation and degeneration of the tendons of the hamstring muscles

  • Symptoms: dull, aching pain behind the knee that gets worse with activity and better with rest. May cause localised swelling behind the knee as well as restricting knee movement due to stiffness and weakness

  • Treatment: PRICE, medications, strengthening and stretching exercises, knee straps and physical therapy

Find out more about the causes, symptoms, diagnosis, prevention & treatment options: Hamstring Tendonitis

14. Osteochondritis Dissecans

Osetochondritis Dissecans is one of the less common causes of knee pain. A reduced blood supply to parts of the bone causes loose fragments of cartilage and bone to break off. Whilst it can occur in any joint, it is the knee that is the most commonly affected.

  • Causes: Repetitive minor damage to the joint from activities such as jumping and kicking can lead to osteochondritis at the knee.  There is also thought to be a genetic link

  • Symptoms: As well as knee pain, it can cause locking and clunking sensations in the knee, limited movement and swelling

  • Treatment: Non-surgical treatment including rest, physical therapy and the use of knee braces. In some cases surgery is necessary

Find out more about the causes, symptoms, diagnosis, prevention & treatment options: Osteochondritis Dissecans

15. Bipartite Patella

Bipartite patella is a knee condition that often goes unnoticed until you overwork or injure the knee making it one of the more rare causes of knee pain.

  • Causes: Incomplete formation of the kneecap - the bone fails to fuse together fully during childhood leaving the kneecap in two pieces

  • Symptoms: Pain at the front of the knee, tender to touch, feels like the knee will give way and you may be able to feel a slight ridge on the kneecap. Many people with bipartite patella go through life never knowing they have it as it often doesn't cause any pain at all

  • Treatment: Rest from aggravating activities, strengthening and stretching exercises, knee braces and occasionally surgery to join the bony fragments

  • Recovery: Symptoms of bipartite patella usually settle within two to three months

Find out more about the causes, symptoms, diagnosis, prevention & treatment options: Bipartite Patella

16. Plica Syndrome

Plica syndrome is a cause of knee pain that often goes undiagnosed as it's symptoms mimic other knee problems. It is caused by inflammation of the membrane that lines the knee joint.

  • Causes: Blow to the front of the knee, repetitive knee bending e.g. cycling or stairs, sudden increase in activity levels, knee injury and muscle weakness

  • Symptoms: Dull, achy knee pain that gets worse with activity, instability, knee clicking, locked knee, restricted movement

  • Treatment: Rest from aggravating activities, stretches, strengthening exercises, physical therapy, steroid injections or surgery

Find out more about the causes, symptoms, diagnosis, prevention & treatment options: Plica Syndrome

17. Knee Bone Spurs

knee bone spurs are common causes of knee pain and stiffness, particularly in the over-60s. Irritation and damage of the knee cartilage causes the body to lay down excess bone as a preventative measure which leads to excess lumps of bone forming, known as osteophytes.

  • Causes: knee cartilage damage from arthritis, meniscus tears, knee injuries, aging, repetitive stress, muscle tightness, obesity & genetics

  • Symptoms: Sharp, catching knee pain that is worse when you move the knee or weight-bear, knee swelling, joint stiffness, clicking/locking sensations, numbness/tingling, hard lump

  • Treatment: medication, physical therapy, exercises, joint mobilisations, knee injections, orthotics, lifestyle modifications, surgery

Find out more about the causes, symptoms, diagnosis, prevention & treatment options: Bone Spurs In Knee

To find out more about these common causes of knee pain, including how to treat each one, go back and use the links above. 

Common Knee Injuries

If you can pinpoint a time when you injured your knee, chances are there is something else going on.

In the common knee injuries section we look at the different structures in and around the knee that get damaged with activities such as sporting tackles, landing awkwardly from a fall or jump, overstretching or bending the knee the wrong way or twisting awkwardly. We look at injuries such as ACL injuries, ligament tears and cartilage damage.

Why Is Diagnosis Important?

To get rid of the any of these causes of knee pain permanently, it is vital to correctly identify the "cause" (what made it go wrong in the first place), not just the "symptom" (what we feel) otherwise it's likely your knee pain will come back. 

Let me give you an example. Say your knee is swollen and painful, you could treat that with PRICE, medication and some gentle exercises. The knee swelling and pain might settle temporarily (i.e. the symptoms go away), but what caused it in the first place is still there in the background.

Treatment will certainly help, but as soon as you go back to doing your normal activities, your knee will most likely start hurting again and may swell.

However, if you treat the weakness and tightness in and around the knee, you treat the “causes” of knee pain, and hey presto, problem solved.

If you need help working out what is wrong, check out our knee pain diagnosis charts and hip pain location diagrams.

What Else Can Help?

If you are looking for more general treatment ideas for your knee pain, visit the knee treatment section for advice on strengthening exercises, stretches, different types of surgery, and PRICE (protect, rest, ice, compression, elevation) for different causes of knee pain.

Remember, you should always consult a health professional who is trained in diagnosing causes of knee pain, such a doctor or physical therapist with any new onset of knee pain.

If you want help working out which is these causes of knee pain you have, check out the following articles:


Related Articles

How To Treat Knee Pain

Knee Treatment
February 1, 2024

Knee Pain Diagnosis Chart: Find out what is causing your knee pain and how best to treat it

Diagnosis Chart
January 12, 2026

Common Knee Injuries & how to treat them

Knee Injuries
July 2, 2025


Last Updated: July 2nd, 2025
Next Review Due: July 2nd, 2027