Written By: Chloe Wilson, BSc(Hons) Physiotherapy
Reviewed by: KPE Medical Review Board

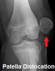
A dislocated patella is an extremely painful injury of the knee where the kneecap (patella) slips out of its normal position.
Kneecap dislocation causes immediate intense pain, disability and swelling as well as altering the shape of the knee. In most cases the kneecap dislocates laterally i.e. to the outer side of the knee due to the structure of the joint.
Patellar dislocation is most common in young adults who play sports and is usually the result of sudden twisting of the knee or impact injuries, but can also be caused by a fall.
There is a likely genetic predisposition to kneecap dislocation too - almost a quarter of people who suffer a dislocation have a relative who has had the same injury.
Here we will look at why and how the patella dislocates, the causes and risk factors for dislocation, common symptoms both at the time of injury and longer term and treatment options for a dislocated patella, both surgical and non-surgical.
The kneecap is a small, triangular shaped bone that sits within the quadriceps tendon at the front of the knee. It helps to protect the front of the knee joint and also helps the quadriceps muscles to extend the knee by increasing their leverage as the knee straightens.

The kneecap rests in a groove on the front of the femur (thigh bone) known as the patella groove or trochlear groove. The ridge on the outer side of the groove is slightly lower than on the inner side.
Strong ligaments and muscles hold the knee cap in place and as the quadriceps muscles contract and relax, the kneecap glides up and down in the groove as the knee moves.
The triangular bone sits upside down, i.e. the pointy bit faces downwards towards the feet, and the quadriceps tendon attaches to the flat upper border of the patella (the base of the triangle).
The vastus lateralis muscle attaches to the outer side of the patella and the vastus medialis muscle to the inner side. These muscles should place an even pull on the kneecap to hold it in the centre of the patella groove.
The patellar ligament emerges from the apex of the patella joining the quadriceps to the tibia (shin bone). The back surface of the patella is lined with a thick layer of cartilage to protect it from the large forces that go through the bone.
If a great enough force goes through the front of the knee, the kneecap shifts out the patella groove.

There may be a:
Patella Subluxation: where the kneecap becomes partially displaced or
Patella Dislocation: where the kneecap is completely displaced
Most commonly, the kneecap shifts laterally due to the lateral ridge of the groove being lower than the medial ridge.
It is extremely uncommon for the kneecap to dislocate medially due to the high medial ridge and strong supporting soft tissues.
A dislocated patella is usually caused by:
There are a number of risk factors that make people more likely to experience a dislocated patella. These include:
If you have a dislocated patella, you will know you’ve done it and may have the following symptoms:
Sometimes a dislocated patella relocates itself, meaning it goes back to the right place, but there will still be a lot of tissue damage. If this happens, the knee will be extremely swollen and painful.
In the longer term after the kneecap has been relocated, whether spontaneously or by a doctor, there may be ongoing symptoms such as:
Treatment for a dislocated patella starts by getting the kneecap back into its correct position and then there are two options, surgical and non-surgical management. In most cases, rehabilitation is the preferred method, particularly if it is the first instance of dislocation, but if there are associated injuries such as a bone fracture or ligament damage, or if someone has had multiple dislocations, then surgery is advised.
The first line of treatment for a dislocated patella is to relocate the bone back into its normal position, known as a reduction.

The sooner this happens the better as the longer the kneecap remains displaced, the more swelling will develop in and around the joint which makes it harder to reduce.
In some cases the kneecap will spontaneously pop itself back into place as the individual straightens their knee. If this happens, it is still important to seek medical assistance to assess for further injuries and to access a rehabilitation programme.
If the patella remains dislocated, you need to go to the Emergency Room as a doctor will need to relocate it. You may be given medication to control the pain and relax the soft tissues.
The dislocated patella is reduced by placing pressure on the lateral aspect of the kneecap and pushing it inwards at the same time as straightening the knee.
This should only be done by a qualified healthcare professional or there is a risk of further damage. An x-ray will be taken to ensure the bones are in the correct position and that there is no damage to other knee structures.
In most cases, a dislocated patella is treated with rehabilitation. Studies have shown there are no significant functional differences in long term outcome with surgical and non-surgical treatment following a first-time dislocated patella.
The aim of rehabilitation is to regain strength, stability and normal patellar tracking at the knee and to prevent the risk of recurrent patellar dislocation, ongoing knee pain and related knee problems such as runners knee.
Rehabilitation after a dislocated patella will include:

It is really important to continue your rehabilitation programme until you have regained full strength, stability and function of the knee else there is an increased risk of recurrent dislocated patella.
Surgery is usually only carried out immediately after a dislocated patella if there is significant damage to the knee such as broken bone fragments or ligament ruptures.
In most cases, it is advisable to wait and follow the rehabilitation programme. However, if there is ongoing instability and recurrent kneecap dislocations, surgery later may be advised.
Patellar stabilisation surgery for a recurrently dislocated patella may include one or a combination of these:
Tightness in the lateral retinaculum pulls the patellar out of its normal alignment and can cause anterior knee pain and increase the risk of recurrent patellar dislocation.
Lateral release surgery is carried out arthroscopically and the tight lateral structures are released to allow normal alignment.
You can find out what happens during surgery, the rehabilitation process and how to make a full recovery in the lateral release knee surgery section
Recurrent kneecap dislocations are often due in part to laxity in the medial retinaculum. If this is the case, surgery is done to tighten the structures on the medial side of the knee. This is often done in conjunction with a lateral release
The medial patellofemoral ligament (MPFL) acts as a tether between the femur and the patella, providing 60% of the resistance to lateral dislocation. The MPFL is always torn when the patella dislocates laterally.
In some cases it is possible to repair the torn ligament and if necessary the fibres will be overlapped to tighten the ligament before reattaching it to the femur. If there have been recurrent dislocations it may not be possible to repair the MPFL so a new ligament will inserted made from a ligament or tendon taken from elsewhere in the body or from a cadaver.

If there is abnormal bony alignment at the knee, then realignment surgery may be performed. The tibial tubercle is the bony lump on the front of the tibia (shin bone) just below the knee where the patella tendon attaches.
The tubercle is lifted and repositioned medially then fixed in place with pins or screws. This shifts the pull on the kneecap inwards, which reduces the lateral pull on the kneecap.
Rehab following surgery will focus on regaining full movement, strength and stability at the knee and will be similar to the rehabilitation programme described above.
The key to making a full recovery from a dislocated patella is to follow your rehab programme. In the knee strengthening exercises and VMO exercises section you will find lots of exercises to regain the strength, control and stability of your knee.
A dislocated patella is the most common knee cap injury but there are other causes of kneecap pain. If this doesn’t sound like you problem, visit the kneecap pain diagnosis section.
In some cases, the kneecap breaks rather than dislocates – visit the knee cap injury section to find out all about patella fractures.
Last Updated: November 26th, 2025
Next Review Due: November 26th, 2027
References
Predicting Risk of Recurrent Patellar Dislocation - S. Parikh, M. Lykissas & I. Gkiatas. Journal of Current Reviews in Musculoskeletal Medicine June 2018
Dislocated Kneecap - NHS Online